搜索
热搜词
阜阳
建党100周年
新冠肺炎
教育
医院
阜阳二院
复工
健康证明
阜阳身边事
物业
颍东
颍州
首页
论坛
Portal
直聘
优选
直播
阜友圈
房产
分类
视频
相亲
登录
登录 阜阳在线更精彩
下次自动登录
忘记密码
立即注册
登录
其他帐号登录:
只需一步,快速开始
游客
主题
帖子
威望
我的帖子
我的收藏
我的空间
设置
退出
退出
1
微信
微博
Qzone
QQ
阜阳在线
»
论坛首页
›
≡ 看颍州 ≡
›
关注阜阳
›
熬夜、抽烟、夜宵一样不少,杭州一21岁男生竟突发心肌梗 ...
颍州彭于晏
+ 关注
为了迎接好哥们退伍,他特意化了女妆,这长得也太秀气了
安徽一男子泄愤上夜班时放火烧厂 一审获刑14年6个月并赔偿1000多万元
论一部电影的作用:安息吧,英雄们!
升学宴太疯狂!一天收6封请帖,半个月吃光一个月工资……
熬夜、抽烟、夜宵一样不少,杭州一21岁男生竟突发心肌梗死
0
收藏
3
点赞
发帖
熬夜、抽烟、夜宵一样不少,杭州一21岁男生竟突发心肌梗死
[复制链接]
2020-8-18 16:34:26
[显示全部楼层]
|
只看大图
|
倒序浏览
|
阅读模式
字体:
大
中
小
尖锐的“嘀呜嘀呜”鸣笛声打破了街道的宁静,一辆救护车从冷清的大街上急驰而过,一位年轻的男患者被送入杭州师范大学附属医院急诊科,抬上胸痛患者专用救护床位。
“这孩子怎么了?”
“胸痛,凌晨吃完夜宵开始的。”
病床上的小方(化名)还没搞清楚怎么回事,急诊室的医务人员已经忙活开了,“抢救2床有个胸痛的年轻小伙,脸色很难看,赶紧请心内科会诊!”。
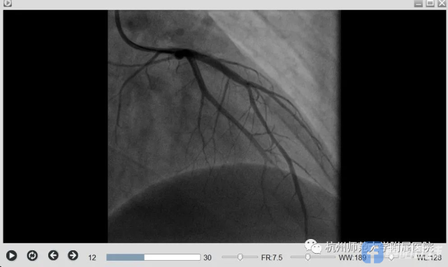
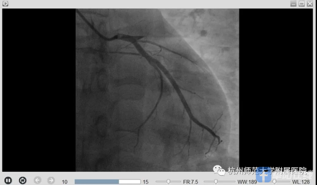
杭师大附属医院心血管内科教学主任刘文民主任通过询问病史,结合小方的症状及检查结果,立刻想到这个患者可能是心肌梗死,而且是临床上罕见且致命的De-Winter综合征。
刘主任立刻启动胸痛中心绿色通道,通知患者家属后,刘主任带领胸痛团队立即将患者送至导管室,经过冠脉造影证实,患者前降支血管(为心脏收缩的主要功能血管)完全闭塞,符合De-Winter综合征的表现,立即予以开通闭塞的血管,植入支架1枚,小方心脏血管血流恢复,胸痛症状明显缓解,血压心率逐渐平稳下来。
手术前后对比图
经过及时有效的治疗,小方的病情已经有了明显好转,付新艳医师追问了小方的冠心病相关病史,并做了详细的检查。
原来,小方并没有高血压、糖尿病等基础疾病,也没有心脑血管疾病相关的家族史,平时也不怎么体检,但引起大家注意的是,他虽然年纪较轻,但已经吸烟5年,每天至少20支;从事保安职业,经常要倒夜班,同时夜宵也从没断过,饮食不规律,体重指数BMI 27.17kg/m2(正常应<24),明显偏胖。所有这些证据表明,患者的危险因素就是不良的生活习惯,而近期的连续长时间熬夜和频繁夜宵可能是本次心肌梗死的诱因。
刘主任分析,现在的许多年轻人有熬夜甚至通宵、饮食不规律、抽烟等不良生活习惯,往往仗着自己年轻,觉得没关系,“熬最深的夜,赖最久的床”,如此恶性循环,身体往往处于亚健康甚至疾病状态,部分患者已经有明显的肝功能异常、内分泌紊乱、发量减少,甚至精神心理障碍。通过这个病例,刘主任对所有的年轻朋友提出警示,你们当中已经有人心梗了,21岁的心肌梗死!现在就要调整作息,规律饮食,不要再以为自己还年轻,觉得我还可以,如果不重视健康生活习惯的养成,也许心梗就离你不远了。
专家提醒
急性心肌梗死疼痛的部位常在心前区和或胸骨后,但也有20%左右的病人症状不典型。通常表现为非典型部位疼痛,如左肩、左腋下、左上臂,还有的表现为上腹部疼痛,颈部、咽喉部疼痛,甚至下颌痛、牙痛。有些病人如糖尿病、脑梗死后的或心功能较差的老年人易出现“无痛性心梗”,只是感到轻微的胸闷,如上腹部堵闷、不适、恶心、憋气等症状,容易漏诊。
所以,刘主任提醒大家,有高危心血管风险的朋友,如肥胖、吸烟、熬夜、酗酒、有心脑血管家族史的,建议调整作息,改变不良的生活习惯,如有胸闷胸痛等不适的,一定要尽快就近就医,以免耽误病情。
来源:杭师大附属医院
本帖点赞记录
点赞给态度,
登录
/
注册
就能点赞
a远方
2020-8-19 07:00
威望
+1
来自
阜阳在线APP
暗香如故
2020-8-18 21:53
威望
+1
来自
阜阳在线APP
哒哒小宁宁
2020-8-18 21:51
威望
+1
来自
阜阳在线APP
回复
使用道具
举报
提升卡
置顶卡
沉默卡
喧嚣卡
变色卡
抢沙发
千斤顶
显身卡
已有(1)人评论
电梯直达
雨后
当前离线
积分
2874
IP卡
狗仔卡
雨后
发表于 2020-8-19 08:03
|
来自安徽
不能熬夜
回复
支持
反对
使用道具
举报
显身卡
高级模式
B
Color
Image
Link
Quote
Code
Smilies
您需要登录后才可以回帖
登录
|
注册
本版积分规则
发表回复
回帖并转播
回帖后跳转到最后一页
手机客户端
|
阜阳在线
|
京ICP备06039095号 京公网安备11010802009527号
Powered by
Discuz!
X3.4
© 2003-2022
Hesi Technology Co.,Ltd.
回复
返回
顶部